ОРТОПЕДИЯ
ЛОШАДЕЙ
Закрытый клуб
Оссификация хрящей копытной кости
Растяжение капсулы копытного сустава
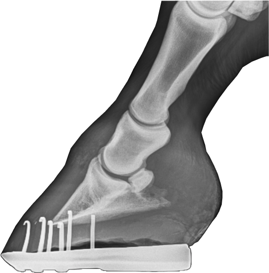
Излишне длинный острый зацеп, мешающий нормальному перекату. Создает излишнее давление передней стенки на копытную кость
О Клубе
Клуб - это место, где вы получаете свежую и точную информацию касательно вопросов ортопедии лошадей: разборы клинических случаев, актуальные статьи, лучшие книги и методические материалы.

Клуб - это место, где вы общаетесь с профессиональным сообществом врачей, ковалей, триммеров, мануальных специалистов

Клуб - это возможность приоритетного участия во всех очных мероприятиях и обучениях, которые проводит Лидия Самсонова
Какие рубрики есть в Клубе?
Основы анатомии и физиологии
Рентгенология
Ультразвуковая диагностика
Хирургия
Расчистка и ковка
Реабилитация
Кормление и рацион
Содержание и уход

Тарифы
Подписка 1 месяц
Стоимость
  • Личный кабинет участника клуба
  • Более 40 видео лекций, которые можно смотреть с компьютера или смартфона
  • Доступ к книгам и публикациям по ортопедии лошадей
  • Закрытый чат Телеграм для общения участников
  • Офлайн-встречи участников клуба
  • Приоритетное участие в семинарах, обучениях
Всё включено НАВСЕГДА


Мы знаем, что иногда трудно принять решение о покупке дорогостоящего продукта, поэтому предлагаем Вам протестировать все функции Клуба с помощью подписки в течение 30 дней
3325 ₽/ мес
Стоимость
  • Личный кабинет участника клуба
  • Более 40 видео лекций, которые можно смотреть с компьютера или смартфона
  • Доступ к книгам и публикациям по ортопедии лошадей
  • Закрытый чат Телеграм для общения участников
  • Офлайн-встречи участников клуба
  • Приоритетное участие в семинарах, обучениях
53 450 ₽
Часто задаваемые вопросы
Made on
Tilda